ひとくちに肝障害といっても、原因や病状の進行の程度はさまざまです。自覚症状がないと、病院に行く一歩手前で立ち止まってしまうかもしれませんが、もしも肝臓に関して気になることがあればお気軽にご相談ください。
肝障害の原因と病気の進行度は、問診(輸血歴、飲酒の有無や量、薬剤の服用、家族歴など)、診察(黄疸、むくみや腹部の張り、毛細血管の拡張、肝臓が触れるかなど)そして血液検査と腹部エコーによって、ある程度までは判別可能です。放置してかまわないのか、経過観察が必要か、すぐに治療が必要なのか、まずは検査を受けることが大切です。
どのような病気でもいえることですが、肝障害においても急性と慢性の経過をたどる場合に分けられ、発熱や全身倦怠感、食欲低下に加えて、尿が黄色いなどの症状を伴う場合は一刻を争う病態である可能性も考えられます。反対に全く自覚症状がないまま慢性の経過をたどり、血液検査や腹部エコー(さらに腹部CT や MRI)検査により、はじめて病気の原因、進行度がわかる場合も多いのです。

肝障害を起こす原因としては、主として、ウイルス(おもに肝炎ウイルス)、アルコール
薬剤(サプリメントを含む)、糖尿病や脂質異常などに関連した代謝性のもの、自己免疫性肝炎(免疫の異常によっておこる)などが挙げられ、他にも、胆汁の通り道である胆管を閉塞するような結石や腫瘍、また悪性腫瘍の転移や血行障害などによるものがあります。
問診と診察の次に血液検査を行いますが、

またアルコール性肝障害の指標として用いられるγ-GTPは 胆管系の障害や薬剤性肝障害などでも上昇します。一般にGOT/GPTが肝障害の代名詞となっていますが、数値が高くても、急性で完治する場合もありますし、正常でも肝硬変が隠れていることもあります。
検診で異常値を指摘されて、来院された患者さんのうち、肝障害の原因の頻度としては軽度の脂肪肝や軽度のアルコール性肝障害が多く見られます。ウイルス性慢性肝炎の主な原因であるB型肝炎ウイルス、C型肝炎ウイルス検査については、初回であれば無料でチェックできる制度もあります(H29年8月現在)。検診はあくまでもきっかけですので、その後に原因とその程度を調べる検査は欠かせません。これ以外にも肝機能をチェックする項目は複数あり、必要に応じて測定を行い、画像とあわせて総合的な判断をしていくこととなります。
実際におなかを開けてみなくても、体表から機械をあてるだけで肝臓の形態の評価ができ、ほぼ体に害を与えることのない検査です。(時間もスクリーニングなら10分程度)

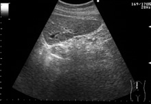
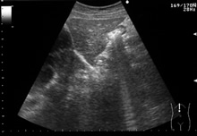
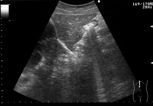
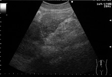
肝臓の正中縦断面のエコー像は、正常肝から、慢性肝炎、肝硬変に従って、断面の辺縁の鋭さが、鈍となり、肝硬変になると表面が凸凹不整となり、内部のきめが粗くなっていきます。
![]() |
![]() |
![]() |
| 正常肝 | 慢性肝炎 | 肝硬変 |
肝炎の進行度だけでなく、脂肪肝の程度の評価や、肝細胞癌のスクリーニングなどに対して大変有用な検査です。(予約なしで当院で当日検査可能です)
最後にウイルス性慢性肝炎の主な原因である、C型肝炎、B型肝炎について
ウイルスの排除は、発がんのリスクや肝硬変への進展を抑えることにつながるため、将来の発がんの不安を減らし、寿命をのばす大きな一歩となる治療を思われます。C型肝炎ウイルス陽性といわれながら、自覚症状がないため治療を受けていなかった方や、肝機能異常を指摘されながら原因精査を受けていない方も是非一度ご相談ください。
またB型慢性肝炎の治療に関しては、年齢、ウイルス量、肝機能、病期に応じて、抗ウイルス薬を主体とした薬物治療が必要な場合と、薬は必要ないが定期的な経過観察が必要となる場合があります。病態を把握した上で、個々にあった治療をしていくことが大切です。
脂肪肝は肝臓に脂肪が貯まっている状態を指しますが、その多くが無症状で、健康診断や、その他の病気でかかりつけの病院での検査において指摘されることの多い疾患です。
生活習慣が様変わりした現在、脂肪肝を持つ患者さんの割合は増えていますが、それ自体の特効薬というものは確定されておらず、基本的な治療方針は減量と食習慣の改善です。
以下のような生活習慣は、たとえ肥満ではなくても、脂肪肝をもたらします。
☆まとめ食いをする(朝食・昼食を抜いて、夕食をたくさん食べる、など)
☆摂取するたんぱく質の割合が少なく、炭水化物、脂質に偏っている
☆就寝の直前に食事をする
糖尿病や脂質異常症と診断されている方は、その治療によって、脂肪肝の改善が得られることもあります。
多くの場合、脂肪肝は肝機能を低下させるものではありませんが、注意しなければならないのは、脂肪肝と診断された方の中に少数ながら将来肝硬変や肝がんを発症するリスクを持つ患者さんがいるということです。
☆GOT/GPT(肝炎の活動性をしめす指数)が持続的に高値の方
☆60歳以上で糖尿病などの基礎疾患があり、GOT/GPTが軽度の上昇でも長年の経過を経て血小板の減少を認める方
以上のような方は、定期的な経過観察が必要です。また高齢になればなるほど肝臓の形態やがんの出現に対して、注意深く定期的な画像検査を行うことが重要と考えています。
なにかご不明の点がありましたら、お気軽にご相談ください。
慢性肝疾患では、肝炎に対する治療とともに、発癌に対して、腹部エコー: CT : MRIなどの定期的な画像followが重要です。当クリニックでは、肝炎に対する抗ウイルス治療を積極的に行っており、定期的に採血やエコーを施行しています。その上で必要があれば総合病院に検査や治療を依頼して、トータルサポートができるよう頑張っていきたいと考えています。